• Contact +91 8652315760
    (Kalamboli)
    +91 7715890506
    (Kamothe)

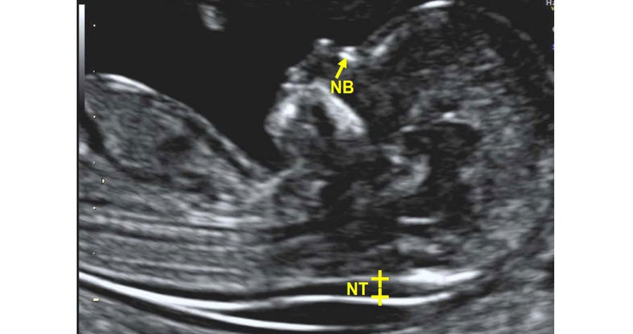
The NT/NB scan, also known as the nuchal translucency (NT) scan or nuchal translucency and nasal bone (NB) scan, is a specialized prenatal ultrasound performed between 11 and 14 weeks of pregnancy. This screening test aims to assess the risk of chromosomal abnormalities, particularly Down syndrome (trisomy 21), and certain other genetic conditions in the fetus. During the scan, the thickness of the fluid-filled space at the back of the baby's neck (nuchal translucency) is measured, and the presence or absence of the nasal bone is evaluated. An increased NT measurement or absence of the nasal bone can be indicative of an elevated risk of chromosomal abnormalities. The NT/NB scan is often combined with maternal blood tests (such as the first-trimester combined screening test) to provide a more comprehensive assessment of the fetus's risk for chromosomal abnormalities. Depending on the results, further diagnostic testing, such as chorionic villus sampling (CVS) or amniocentesis, may be recommended for confirmation. This scan plays a crucial role in early prenatal care, allowing healthcare providers to offer appropriate counseling and management to expecting parents.